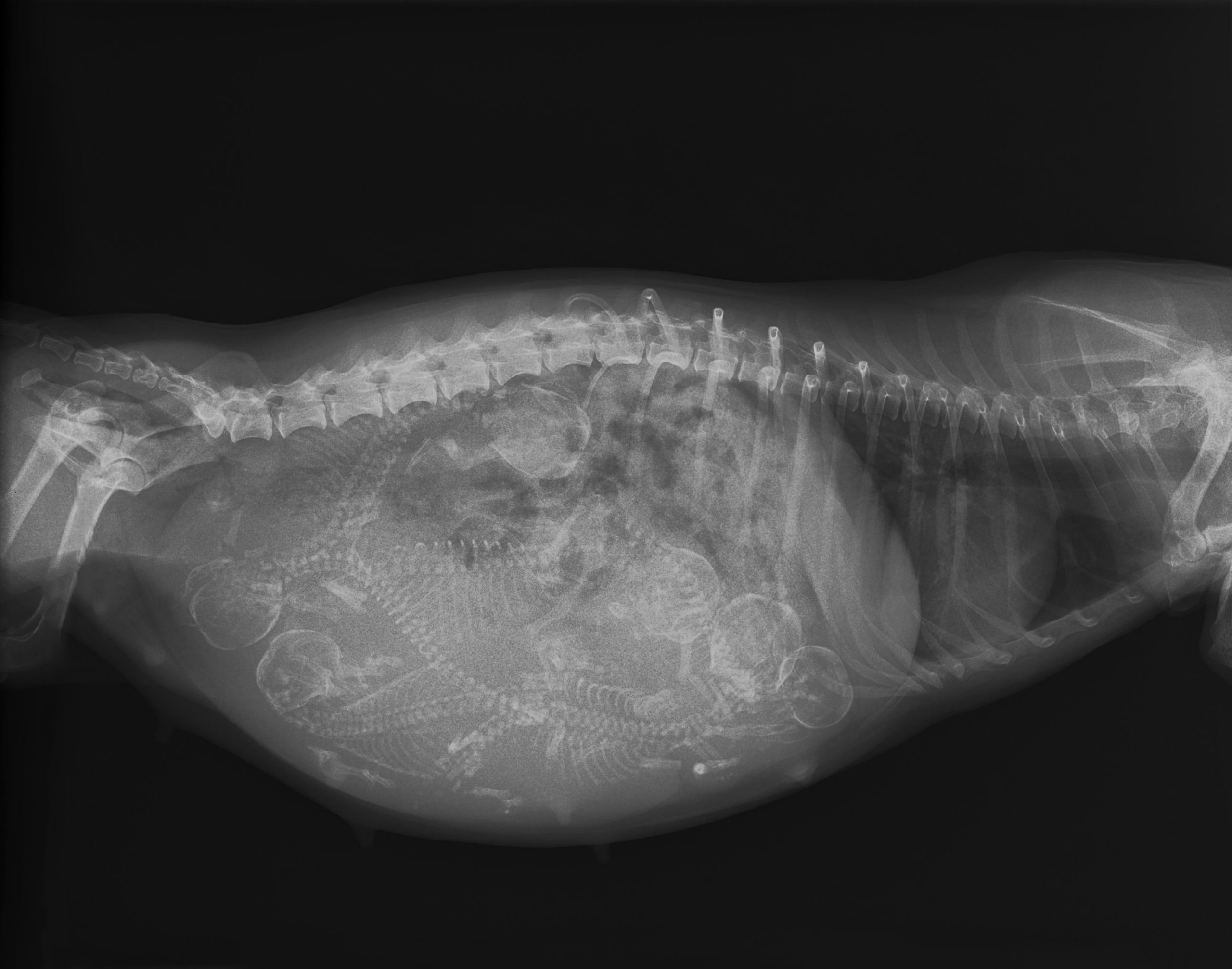
The one question vets hate hearing as they ultrasound expectant canine mothers is “how many puppies are there?” The reason is that, on ultrasound, this can be very difficult to accurately measure, particularly if the litter is a large one. It’s not uncommon for breeders to count their ‘chickens’ before they’ve hatched, and it can be quite awkward if they’ve already sold pups based on your ‘estimate’. While an X-ray can provide a more accurate number by allowing you to do a literal head count, exposing mother and babies to unnecessary radiation is not typically advised.
In the case of Marigold, the two-year-old Irish Setter from Canterbury, UK, not even an X-ray could have prepared her owner for the number of pups that made their appearance over the course of a cold January day.
In an interview with the BBC’s Nathan Bevan, Marigold’s owner said that the ordeal was quite draining for her and her family.
“It was exhausting for us, so I dread to think how poor Marigold felt!” said Miranda Pellachia of Blean, near Canterbury. “The first one popped out late one morning back in January, and the last one didn’t materialise until around midnight that same day.”
Now surrounded by a roughhousing, rollicking pack of 8-week-old pups, Miranda still can’t get over the events of that day.
“Pup after pup kept appearing; We thought it would never stop,” she said, adding that “even when the 17th was born, we wondered if that really would be the last.”
Dubbed “Irish Doodles” as their Irish Setter mother was mated to a Poodle, it is believed that this is the largest litter of this particular crossbreed born in the UK. What’s even more astounding, however, is that it is still only two-thirds the size of the largest litter on record.
That honor goes to a Neopolitan Mastiff by the name of Tia, who in 2004 delivered two dozen – that’s right, 24! – puppies by cesarean. Although four of those pups did not make it past their first week, it doesn’t detract from the sheer enormity of that number.
Of course, Marigold deserves particular recognition for having delivered all 17 puppies naturally. Whilst the relative size of pup to mother means that there is less physical exertion required to expel each pup compared with that of a human baby, spending almost 12 hours pushing, resting, cleaning, feeding, and pushing again is almost too exhausting to think about.

With the pups soon to be vaccinated and sent to live in their new homes, it will no doubt be a bittersweet time for Marigold and her owner. However, with three children of her own, Miranda says that life will be quieter once the pups are gone, but not quiet.
“I reckon things are just set to return to the level of chaos we normally have around here,” she said.
Feature Image Credit: Brianne Hamilton, BBC
Did You Know?
- Our breaking news articles are included in our weekly emails. Don’t miss out on the latest and sign up for our newsletter below!